BLOG
【完全版】理想の笑顔へのロードマップ:マウスピース矯正の全工程を専門医が徹底解説
2026.01.30
こんにちは。歯科医師の伊藤剛秀です。
「歯並びを整えて、自信を持って笑いたい」
その一歩を踏み出そうとしているあなたへ、最初にお伝えしたいことがあります。
矯正治療は、単に「見た目を綺麗にするためのもの」ではありません。実は、あなたの「頭痛」や「首の痛み」、もっと言えば「心の疲れ」や「将来の健康寿命」までを左右する、人生において非常に大切なターニングポイントなのです。
カウンセリングで患者さまとお話ししていると、「肩こりや頭痛がひどくて、マッサージや針に何年も通っているけれど、一向に良くならない」というお悩みを本当によく伺います。その原因の多くは、実は「顎の位置」にあるのです。
今回は、2026年最新の知見に基づき、私が日々どのような想いで患者さまと向き合い、どのようなステップで治療を進めているのか。その全貌を、お口の先だけでなく「全身の健康」という視点から、詳しくお話しします。
【STEP 1】カウンセリング:体からの「サイン」を読み解く
すべての始まりは、対話から始まります。
私が最初にお伺いするのは、歯のことだけではありません。「最近、ぐっすり眠れていますか?」「階段の上り下りで膝が痛むことはありませんか?」「原因不明のイライラや眠気はありませんか?」といったことです。
歯医者が「全身の話」をする理由
例えば、奥歯しか噛んでいない「開口(オープンバイト)」の状態だと、顎が後ろに下がってしまいます。すると、顎の関節の隙間が潰れ、そこを通る神経や豊富な血管が圧迫されます。
血管が圧迫されて血流が悪くなると、脳への酸素供給が減ったり、自律神経のバランスが崩れたりして、頭痛や集中力の低下、さらには「なんとなくネガティブになってしまう」といったメンタル面の影響まで出てくるのです。
私はカウンセリングの際、お一人おひとりの骨格の歪みや、首の角度、肩の高さの違いまでを拝見し、「今の不調がどこから来ているのか」の謎解きを丁寧に行います。

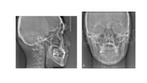
2. 【STEP 2】精密検査:見えない「顎の歴史」を可視化する
次に、最新のデジタル機器を用いて、今のお口と体の現状を「見える化」します。
・3Dスキャン(iTeroなど): 従来の型取りの苦しさはありません。数分でお口を立体的に再現します。

・レントゲン・顔貌写真: 歯の根っこの状態はもちろん、顎の関節の形を詳しく見ます。20代の頃に「顎がパキパキ鳴っていた」という経験はありませんか? それは、顎のクッション(関節円板)がズレ始めたサインです。


MRI検査のご提案:必要に応じて、専門施設でのMRI撮影をお勧めすることもあります。クッションが今どこにあるのかを正確に知ることで、根拠のある治療が可能になります。
3. 【STEP 3】治療計画の作成:心地よい「噛み合わせ」のデザイン
集めたデータをもとに、私が最も時間をかけて行うのが「治療計画の作成」です。
AIの計画を、一つひとつ丁寧に「手直し」する
最近のマウスピース矯正はAIが自動で計画を作ってくれますが、私はそれをそのまま使うことはありません。なぜなら、AIは「顎の関節にとって一番楽な位置」までは計算できないからです。
私は、AIが作った計画をベースにしながらも、
「顎をどの位置に持っていけば、脳への血流が一番良くなるか?」
「首のカーブが自然になり、ストレートネックが改善する位置はどこか?」
「体幹が安定し、全身の筋肉がリラックスできる位置はどこか?」
といった視点で、一つひとつの歯の動きを微調整していきます。デジタル技術を使いこなしながらも、最後は「人の体」としての心地よさを優先した、あなただけの設計図を完成させます。
4. 【STEP 4】マウスピースの製作と到着
設計図が決まると、あなた専用のマウスピースが製作されます。私のこだわりが詰まった「顎を楽にするための装置」が届くまで、少しの間楽しみにお待ちください。

5. 【STEP 5】治療開始:新しい習慣のスタート
マウスピースが届いたら、装着の練習です。
アタッチメントの装着: 歯の表面に、目立たない小さな突起を付けます。これは歯をスムーズに動かすための「優しいガイド」のような役割をします。
「その場」での変化を体感: 面白いことに、正しい顎の位置を意識した装置を付けるだけで、その場で前屈が柔らかくなったり、足の長さの左右差が揃ったりする方が多くいらっしゃいます。顎が整うと、全身の緊張がふっと抜けるのです。

6. 【STEP 6】通院と交換:少しずつ変わっていく喜び
ここからは、ご自宅でマウスピースを交換しながら進めていきます。
装着時間: 1日20〜22時間が目安です。
生活への馴染ませ方:「寝ている間に食いしばって疲れる」という方も、顎の位置が適正化されると、次第に無駄な力が抜け、朝起きた時の爽快感が変わってきます。
経過チェック: 数ヶ月に一度来院いただき、歯が計画通りに動いているか、顎の位置に違和感がないかをチェックします。
7. 【STEP 7】より美しい仕上がりのための調整
治療の途中で、より理想的な噛み合わせにするための工夫を行うことがあります。
IPR(隙間の調整): 歯の健康を守りながら、ほんの少し表面を整えて、歯が並ぶスペースを作ります。
顎間ゴム:小さなゴムを併用することで、上下の顎の前後的なバランスを微調整し、気道の確保や首の負担軽減につなげます。

8. 【STEP 8】リファインメント:最後の仕上げまで寄り添う
最初の計画分を使い切ったところで、一度お口の中を再確認します。
「あと少しだけここを整えたい」「噛み合わせをもっとしっくりさせたい」といった細かなご希望に合わせて、追加のマウスピースで最終的な仕上げを行います。このひと手間が、治療後の「やってよかった」という満足度につながります。
9. 【STEP 9】保定(リテーナー):健康な骨格を定着させる
歯並びが整ったら、次はその美しさと健康を維持する「保定期間」に入ります。
リテーナーの装着: 動かしたばかりの歯が戻らないよう、専用の装置を付けます。
修復治療(必要な場合): 長年の食いしばりで削れてしまった歯の山を、プラスチックや被せ物で作り直し、顎が正しい位置でパチっと安定するように仕上げます。これにより、20代の頃のような元気な骨格を取り戻すことができます。
10. まとめ:一生モノの笑顔と、健やかな体のために
マウスピース矯正は、単に歯を綺麗にするだけのものではありません。
正しい位置でしっかり噛めるようになると、表情が明るくなり、全身のバランスが整い、心まで前向きになれる。そんな素晴らしい変化を、私は多くの患者さまを通して見てきました。
私の役割は、最新のテクノロジーを安心感に変えて、あなたの「これから」の健康を一緒に守っていくことです。
「私の歯並びでも大丈夫かな?」「顎の違和感も相談していいのかな?」
そんな不安がある方も、どうぞリラックスしてお話しに来てください。
2026年、あなたがもっと自分を好きになれる笑顔を、一緒に見つけていきましょう。
ご相談はこちら ↓ ↓
https://itotakehide.com/contact/
Youtubeも配信しています!
https://www.youtube.com/@TokyoSmileDesign